Tecnología
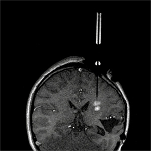
Un sistema que permite a los cirujanos obtener imágenes del cerebro mientras operan
El sistema ayuda a hacer operaciones cerebrales más rápidas y seguras
Un nuevo sistema para ver el cerebro durante la cirugía está ayudando a los neurocirujanos a diagnosticar y tratar a sus pacientes con mayor precisión, y les permite incluso llevar a cabo determinados procedimientos que hasta ahora eran extremadamente difíciles o directamente imposibles.
Los neurocirujanos pueden usar esta tecnología de toma de imágenes durante cirugías en las que hay que colocar pequeños objetos -agujas de biopsia, implantes o tubos para administrar fármacos- en lugares concretos del cerebro. El sistema proporciona imágenes por resonancia magnética (RM) en vivo que permiten a los cirujanos seguir sus progresos durante la operación.
Normalmente, los neurocirujanos usan la RM antes de la cirugía para planear la trayectoria de la operación basándose en la posición del cerebro en relación con un marco guía que se atornilla al cráneo del paciente, explica Robert Gross, neurocirujano de la Universidad de Emory (EE.UU.). Pero el cerebro puede moverse antes de que tenga lugar la cirugía, afirma, haciendo que esa RM sea imprecisa. Para comprobar lo que pasa dentro del cráneo de un paciente los médicos tienen que detener la cirugía e incluso sacar al paciente del quirófano.
Para abordar estos problemas, los investigadores han desarrollado nuevos sistemas de guía neuroquirúrgica capaces de funcionar a pesar de los fuertes imanes y señales electrónicas que usan los escáneres de RM. La empresa fabricante de dispositivos médicos Medtronic, por ejemplo, ofrece un sistema de RM en tiempo real para neurocirugía. Pero Gross afirma que el sistema más útil que hay en el mercado lo ofrece MRI Interventions, una empresa de dispositivos médicos con sede en Tennessee (EE.UU.).

El sistema de MRI Interventions funciona con escáneres de RM convencionales. Se fija al cráneo una plataforma para guiar a las herramientas quirúrgicas o a los implantes dentro del cerebro, y proporciona un sistema de cuadrícula para decidir la trayectoria. Uno de los materiales con los que está fabricada la plataforma hace que el dispositivo resulte visible al escáner. Software exclusivo de MRI Interventions muestra a los cirujanos dónde están sus herramientas respecto al cerebro del paciente. Esos datos se muestran en una pantalla compatible con la RM para que los cirujanos tengan una visión de lo que sucede dentro del cráneo del paciente, y que no interfiere con el procedimiento de toma de imágenes, un problema asociado con la mayoría de los equipos electrónicos.
"Si el cerebro se ha movido, podrás ver esa variación en la trayectoria", sostiene Gross, que usa el sistema junto con láseres médicos para destruir las pequeñas regiones de tejido cerebral que producen ataques en pacientes epilépticos.
MRI Interventions ha instalado 25 de sus sistemas de guiado en tiempo real: dos en Europa y 23 en Estados Unidos. A menudo, los neurocirujanos dependen de que los pacientes estén despiertos durante las operaciones cerebrales para que con su comportamiento puedan proporcionar pistas respecto a si el cirujano está introduciendo una herramienta o dispositivo de tratamiento en el lugar que se pretende. Para algunos procedimientos, la nueva tecnología significa que ya no hace falta mantener a los pacientes despiertos durante la operación.
Los médicos también están usando el sistema para administrar tratamientos experimentales para el cáncer cerebral. Los investigadores de la Universidad de California en San Diego (EE.UU.) están usando el sistema de RM en tiempo real para probar si una terapia génica viral que se carga el cáncer puede tratar los tumores cerebrales malignos. "Poder ver la RM mientras la aguja de biopsia está dentro del cerebro hace que los diagnósticos sean más precisos", explica Santosh Kesari, un neurooncólogo involucrado en el estudio de la terapia génica. "Y cuando intentamos administrar un tratamiento sabemos si lo estamos llevando en condiciones seguras al lugar adecuado".
|
Un nuevo sistema para ver el cerebro durante la cirugía está ayudando a los neurocirujanos a diagnosticar y tratar a sus pacientes con mayor precisión, y les permite incluso llevar a cabo determinados procedimientos que hasta ahora eran extremadamente difíciles o directamente imposibles.Los neurocirujanos pueden usar esta tecnología de toma de imágenes durante cirugías en las que hay que colocar pequeños objetos -agujas de biopsia, implantes o tubos para administrar fármacos- en lugares concretos del cerebro. El sistema proporciona imágenes por resonancia magnética (RM) en vivo que permiten a los cirujanos seguir sus progresos durante la operación.
Normalmente, los neurocirujanos usan la RM antes de la cirugía para planear la trayectoria de la operación basándose en la posición del cerebro en relación con un marco guía que se atornilla al cráneo del paciente, explica Robert Gross, neurocirujano de la Universidad de Emory (EE.UU.). Pero el cerebro puede moverse antes de que tenga lugar la cirugía, afirma, haciendo que esa RM sea imprecisa. Para comprobar lo que pasa dentro del cráneo de un paciente los médicos tienen que detener la cirugía e incluso sacar al paciente del quirófano.
Para abordar estos problemas, los investigadores han desarrollado nuevos sistemas de guía neuroquirúrgica capaces de funcionar a pesar de los fuertes imanes y señales electrónicas que usan los escáneres de RM. La empresa fabricante de dispositivos médicos Medtronic, por ejemplo, ofrece un sistema de RM en tiempo real para neurocirugía. Pero Gross afirma que el sistema más útil que hay en el mercado lo ofrece MRI Interventions, una empresa de dispositivos médicos con sede en Tennessee (EE.UU.).

El sistema de MRI Interventions funciona con escáneres de RM convencionales. Se fija al cráneo una plataforma para guiar a las herramientas quirúrgicas o a los implantes dentro del cerebro, y proporciona un sistema de cuadrícula para decidir la trayectoria. Uno de los materiales con los que está fabricada la plataforma hace que el dispositivo resulte visible al escáner. Software exclusivo de MRI Interventions muestra a los cirujanos dónde están sus herramientas respecto al cerebro del paciente. Esos datos se muestran en una pantalla compatible con la RM para que los cirujanos tengan una visión de lo que sucede dentro del cráneo del paciente, y que no interfiere con el procedimiento de toma de imágenes, un problema asociado con la mayoría de los equipos electrónicos.
"Si el cerebro se ha movido, podrás ver esa variación en la trayectoria", sostiene Gross, que usa el sistema junto con láseres médicos para destruir las pequeñas regiones de tejido cerebral que producen ataques en pacientes epilépticos.
MRI Interventions ha instalado 25 de sus sistemas de guiado en tiempo real: dos en Europa y 23 en Estados Unidos. A menudo, los neurocirujanos dependen de que los pacientes estén despiertos durante las operaciones cerebrales para que con su comportamiento puedan proporcionar pistas respecto a si el cirujano está introduciendo una herramienta o dispositivo de tratamiento en el lugar que se pretende. Para algunos procedimientos, la nueva tecnología significa que ya no hace falta mantener a los pacientes despiertos durante la operación.
Los médicos también están usando el sistema para administrar tratamientos experimentales para el cáncer cerebral. Los investigadores de la Universidad de California en San Diego (EE.UU.) están usando el sistema de RM en tiempo real para probar si una terapia génica viral que se carga el cáncer puede tratar los tumores cerebrales malignos. "Poder ver la RM mientras la aguja de biopsia está dentro del cerebro hace que los diagnósticos sean más precisos", explica Santosh Kesari, un neurooncólogo involucrado en el estudio de la terapia génica. "Y cuando intentamos administrar un tratamiento sabemos si lo estamos llevando en condiciones seguras al lugar adecuado".